een echt schoon gebit? de mondhygiënist!
Praatjes vullen geen gaatjes, praatjes voorkomen gaatjes!
Een van de weinig eerstelijns zorg waar je naar toe gaat zonder dat je klachten hebt, is de mondzorg. Want wanneer ga je naar de huisarts, of een fysiotherapeut? Precies. Als je klachten hebt. De huisarts behandelt de patiënt, en via de weg van curatieve zorg geneest de patiënt. Van begeleiding en preventie is minder sprake.
In de mondzorg is het zo dat als je klachten hebt, het vaak gaat om reparatie van schade. Dat wordt ook "zorg" genoemd. Echter gaat het hier niet om een behandeling zodat iemand geneest. Een vulling, een kroon of een wortelkanaalbehandeling is reparatie. Dat dit zorg wordt genoemd is jammer. Dan missen we de kracht van echte zorg. Ervoor zorgen dat niet gerepareerd hoeft te worden. Immers: de beste vulling is geen vulling, eigen wortels zijn beter dan implantaten.
Het belangrijkste doel van mondzorg is het voorkomen van curatieve zorg!
Er is veel bekend over het onstaan van gebitsproblemen en tandvleesproblemen. Gaatjes ontstaan door (het niet goed verwijderen van) plakbacterien, door een verkeerd voedingspatroon of fluoridetekort, speekseltekort en tandvleesproblemen kunnen ontstaan door een verstoord immuunbalans en de aanwezigheid van biofilm (tandplak). Als de oorzaak van schade wordt weggenomen, wordt werkelijk zorg verleend.
De mondhygienist is de professional die je helpt gebits- en tandvleesschade te voorkomen
Door te informeren, spiegelen, samenvatten, motiveren en vastleggen, je tandvlees een cijfer te geven, te vragen naar je medicatie, leefstijlgewoonten te bespreken en te letten op je dagelijkse mondverzorging kun je veel problemen voor zijn, en hoeft er geen schade gerepareerd te worden.
Maar hoe werkt dat dan in de praktijk?
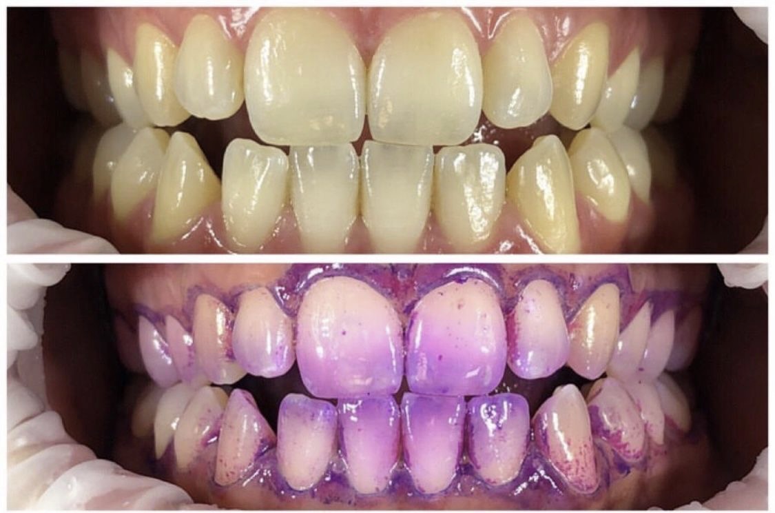
Een preventieve mondzorgbehandeling bij de vrijgevestigde mondhygienist is een investering in je mondgezondheid. Er wordt uitgebreid aandacht besteed aan het optimaliseren van je dagelijkse mondverzorging om ervoor te zorgen dat de belangrijkste oorzaak van mondproblemen, de biofilm (=tandplak), wordt weggenomen. Een kleurstof wordt aangebracht om de biofilm duidelijk weer te geven. Ook als je denkt dat je een goede poetser bent, -je hebt immers een elektrische tandenborstel- zul je toch versteld staan hoeveel biofilm er nog aanwezig is. Zo op het eerst gezicht lijkt dit gebit er toch prima uit te zien..
Echter blijkt dat bij het tandvleesrandje er nog biofilm aanwezig is. Het laagje dat de oorzaak is van de meestvoorkomende mondproblemen zoals tandvleesontsteking en gaatjes.
De nieuwe manier van gebitsreiniging en een professioneel advies mondverzorging: de perfecte combi voor een gezond en schoon gebit!
Een gebitsreiniging...dat is toch met die nare haakjes en korrelige polijstpasta op een borsteltje? Nee. Er is een nieuwe manier van het intensief reinigen van je gebit, het verwijderen van het aanwezige tandsteen en (rook)aanslag. Maar dan wel op een comfortabele en pijnloze manier. Je zult versteld staan van het ultraschone resultaat. Zoals hieronder op de afbeelding te zien is:
.jpg)
Echter, het belangrijkste is jouw dagelijkse mondverzorging. Je krijgt een persoonlijk advies, welke tandenborstel en welke interdentale reinigingsmiddelen voor jou het meest geschikt zijn.
Maak een afspraak voor een perfect gereinigd, schoon gebit met de nieuwe manier van gebitsreiniging, een persoonlijk mondverzorgingsadvies om te poetsen als een pro en voorkom mondproblemen.
Want de beste tandartsbehandeling is géén tandartsbehandeling.


