NIEUWS
Informatieve artikelen over mondgezondheid
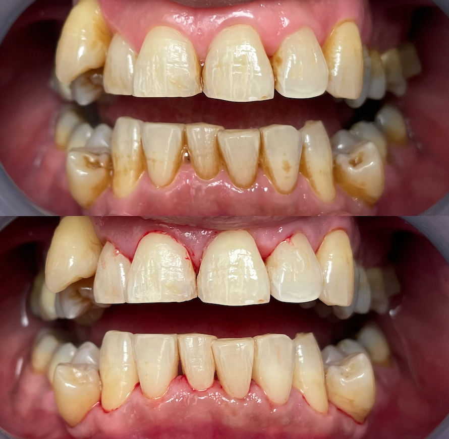
Aanslag verwijderen voor een schoon en gezond gebit?
5 redenen om naar de mondhygiënist in Oostzaan te gaan
De vrijgevestigd mondhygiënist in Oostzaan is de beste keuze als het gaat on het intensief reinigen van je gebit. Met als resultaat gezonde tanden en gezond tandvlees.
1. Deskundigheid: de mondhygiënist is opgeleid om vakkundig te werken. Daar komt ook nog jarenlange ervaring bij.
2. State-of-the-art faciliteiten. De modernste apparatuur om je gebit intensief te reinigen
3. Comfortabel: we begrijpen dat een preventieve mondzorgbehandeling voor sommige mensen ongemakkelijk kan zijn. Daarom hebben we een comfortabele stoel én een comfortabel behandelsysteem om je gebit intensief e reinigen . Daar komt ook nog bij dat er een ontspannen sfeer hangt.
4. Persoonlijke aandacht: Wij geloven in persoonlijke aandacht en zullen altijd de tijd nemen om vragen te beantwoorden en je zo goed mogelijk te informeren over je mondgezondheid.
5. Preventieve zorg: wij geloven dat preventie key is. Je krijgt de beste adviezen om je gebit zelf thuis goed te verzorgen om mondproblemen te voorkomen. En hoe aanslag te voorkomen
Kortom, maak een afspraak om je mond stralen te krijgen én te houden
.png)

